最佳回答
本文由作者推荐
简要回答
新冠感染患者出现发烧时,其实会对肺部有影响。最为常见的影响就是对肺部丧失了具体的功能,目前很多的新冠感染患者确定感染之后会出现发热、干咳、胸闷气短、呼吸困难、全身乏力等等症状。不排除有些患者的症状比较严重,直接出现了呼吸窘迫、脓毒性休克等等症状。
详细内容
- 01
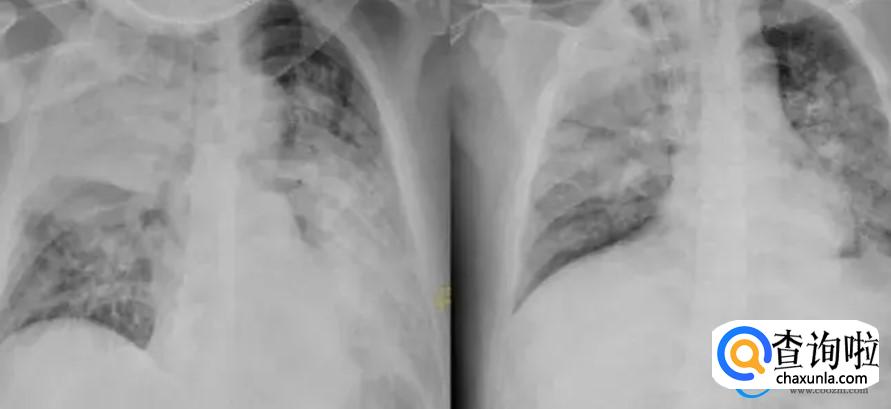
新冠感染发烧会出现白肺
很多患者感染新冠之后,可能会对肺部造成一定的影响,这些相对来说情况是比较轻微的。通过肺部的CT检查时,要是发现肺部已经出现了毛玻璃样的东西,此时代表肺部已经有炎症,情节较为严重的时候会直接出现白肺纤维化,最后导致呼吸衰竭而亡。
- 02
白肺的表现症状
近期众人对白肺的关注度较高,白肺主要是指肺内部出现了病变,从而导致肺部的透亮度开始大幅度的降低。一旦出现白肺之后,可能会形成非常严重的肺部感染,要是毒性肺炎或者是细菌性肺炎,导致白肺形成之后,可能会直接出现急性呼吸窘迫的症状。
- 03
目前白肺所表现的临床症状主要是呼吸困难、咳嗽喘憋等等症状,感染的时候比较明显,要是出现体温升高,此时需要及时的去医院拍CT检查。
广告位
点击排行
- 2 排行
- 3 排行
- 4 排行
- 5 排行
- 6 排行
- 7 排行
- 8 排行
- 9 排行
- 10 排行
热点追踪
广告位


