最佳回答
本文由作者推荐
简要回答
做牙齿矫正真的会影响人的脸型吗?答案是会的。下面我们就来看看在牙齿矫正的过程中,脸型的变化吧。

详细内容
- 01
首先,我们要知道,拥有一口好牙齿是非常重要的。如发现牙齿问题,应及时去矫正。
- 02
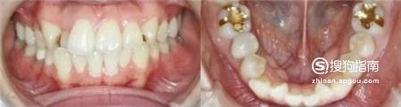
矫正之前,可以看出,虎牙很明显,参差不齐,上下牙齿排列也不整齐。
- 03
用弹簧装置确保牙齿移动空间,让内缩的牙齿被拉出来。
- 04
下排拔牙后的空间正在慢慢闭合,虎牙的形成是由于在有限的口腔内,牙齿萌出时周边空间不足导致牙齿里进外出,现在我们可以看出正在把突出的牙齿往回拉。
- 05
第五个月和第八个月对比图,我们可以大致看出一些变化。
- 06
矫正开始后每个月都要去一次牙科进行月诊,3个月的功夫虎牙就变得整齐了。
- 07
其他牙齿也开始移动,牙齿间的空隙慢慢闭合,脸部的轮廓已经在慢慢变化了。
- 08
接着戴橡皮筋和透明保持器的两年,在这期间,除了吃东西的时候摘掉以外要一直带着。
- 09
最后效果还是很理想的,变化真的很大呢!
- 010
总结一下,矫正牙齿主要矫正牙齿的六种情况,如图所示。
- 011
特别提示一下,矫正牙齿后,也还是要定期去检查,清洗牙齿的哟。

广告位
点击排行
- 2 排行
- 3 排行
- 4 排行
- 5 排行
- 6 排行
- 7 排行
- 8 排行
- 9 排行
- 10 排行
热点追踪
广告位


