为什么会胃痛
为何觉得阳后总觉得好累好虚
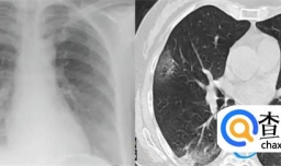
什么情况需要做肺部CT
柠檬怎么吃止咳效果好一点
新冠损伤味觉嗅觉一个月内可恢复吗
病毒是否会攻击人体生殖系统
二次感染的风险是不是很大
为什么要警惕老年人出现厌食嗜睡等症状
得了新冠肺炎会不会丧失味觉
奥密克戎导致白肺的几率不高吗
曾光回答如何自测肺部是否感染
女孩子裸睡的好处
什么习惯对肾脏比较好
阳性后出现嗅觉味觉下降怎么办
中医中药对新冠有效吗
吃牛肉好处有哪些
吃什么食物最扛饿,你知道吗?
杜仲的功效与作用
卫生巾使用不当会引起妇科病吗,月经期间怎样护理
放屁的好处有哪些?如何改善放屁多的现象?
橘子的营养价值及功效
新鲜天麻怎么晒干
乳牙和恒牙的区别有哪些
七大伤眼习惯