一般备孕期间夫妻生活几天一次好?
转阴后为什么总觉得累
性生活痛是怎么回事
夫妻生活注意事项
怎么样让老公的工资卡自动上交
夫妻生活每次多久最好
越来越多的女人喜欢出去打工的原因
帮孩子快速退烧的3个手法
奥密克戎传播力有多强
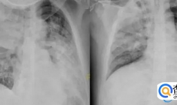
怎么知道新冠有没有感染到肺部
新冠发烧对肺有影响吗 会出现白肺吗
如何解决水泥鼻
“乙类乙管”后,这些问题要明白
阳康后要给身体半个月调养期
感染高峰过后能达到群体免疫吗
吃牛肉好处有哪些
吃什么食物最扛饿,你知道吗?
杜仲的功效与作用
卫生巾使用不当会引起妇科病吗,月经期间怎样护理
放屁的好处有哪些?如何改善放屁多的现象?
橘子的营养价值及功效
新鲜天麻怎么晒干
乳牙和恒牙的区别有哪些
七大伤眼习惯