奥密克戎转阴多久算安全
血氧饱和度怎么测
奥密克戎突变已基本饱和了吗 奥密克戎的种类有多少种
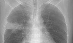
白肺意味着什么 严重吗
咳嗽咳痰用什么药
感染者持续咳嗽怎么办
感染恢复期嗅味觉下降怎么办
白肺的一个明显表现是气紧还有呢
提高注意力的方法
蹲着吃饭对消化有危害吗
肺部变白是不是没救了 肺部变白是肺部纤维化吗
新冠肺炎为什么要测血氧 血氧低的症状表现
血糖高吃素有效果吗
吃蜂胶有什么作用
打了新冠疫苗严重脱发怎么办
吃牛肉好处有哪些
吃什么食物最扛饿,你知道吗?
杜仲的功效与作用
卫生巾使用不当会引起妇科病吗,月经期间怎样护理
放屁的好处有哪些?如何改善放屁多的现象?
橘子的营养价值及功效
新鲜天麻怎么晒干
乳牙和恒牙的区别有哪些
七大伤眼习惯